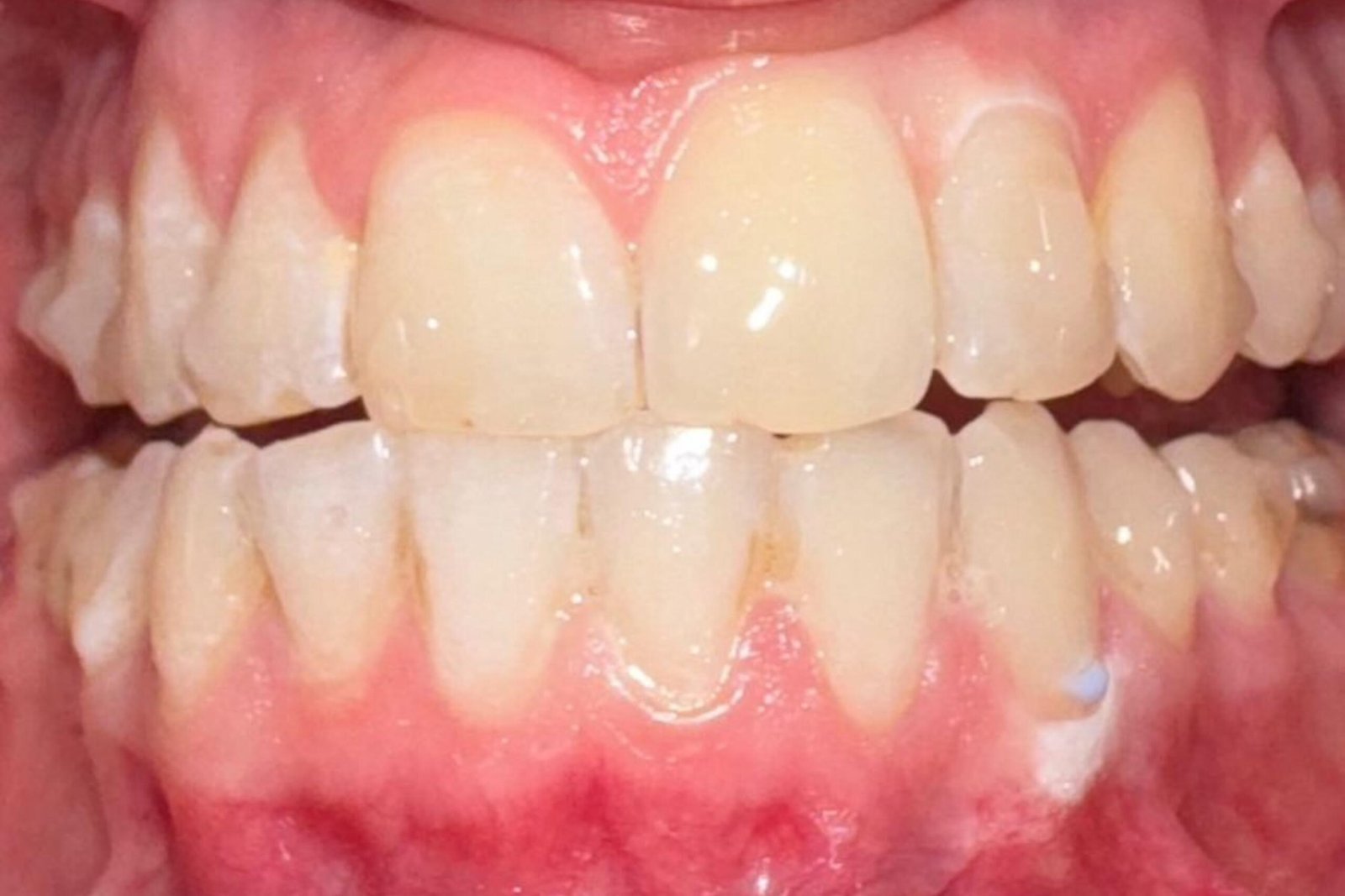
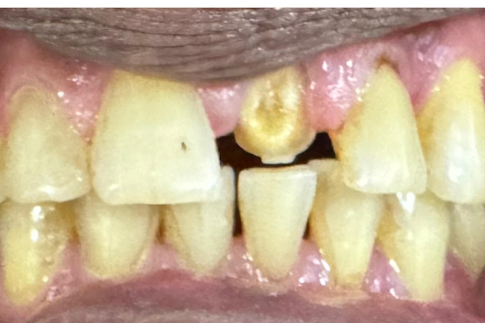
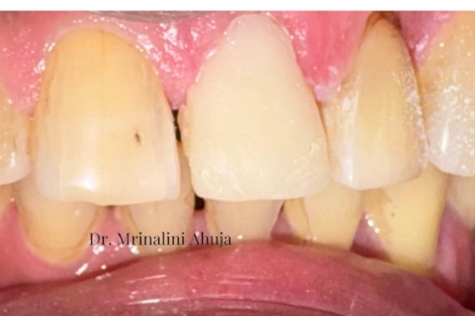
Real Smile Transformations
See the difference expert dental care can make. Our before-and-after gallery showcases real patient results achieved through advanced treatments, modern techniques, and personalized care plans. From smile makeovers to restorative procedures, we focus on delivering natural-looking and long-lasting results.
Every case is unique, and our goal is to improve both oral health and confidence. These transformations highlight the quality, precision, and dedication our team brings to every treatment.
Real Smile Transformations



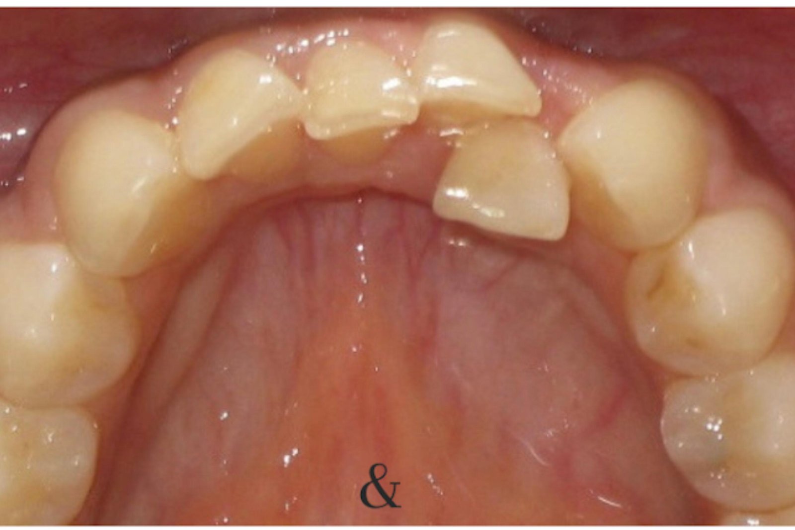
BeforeAfter



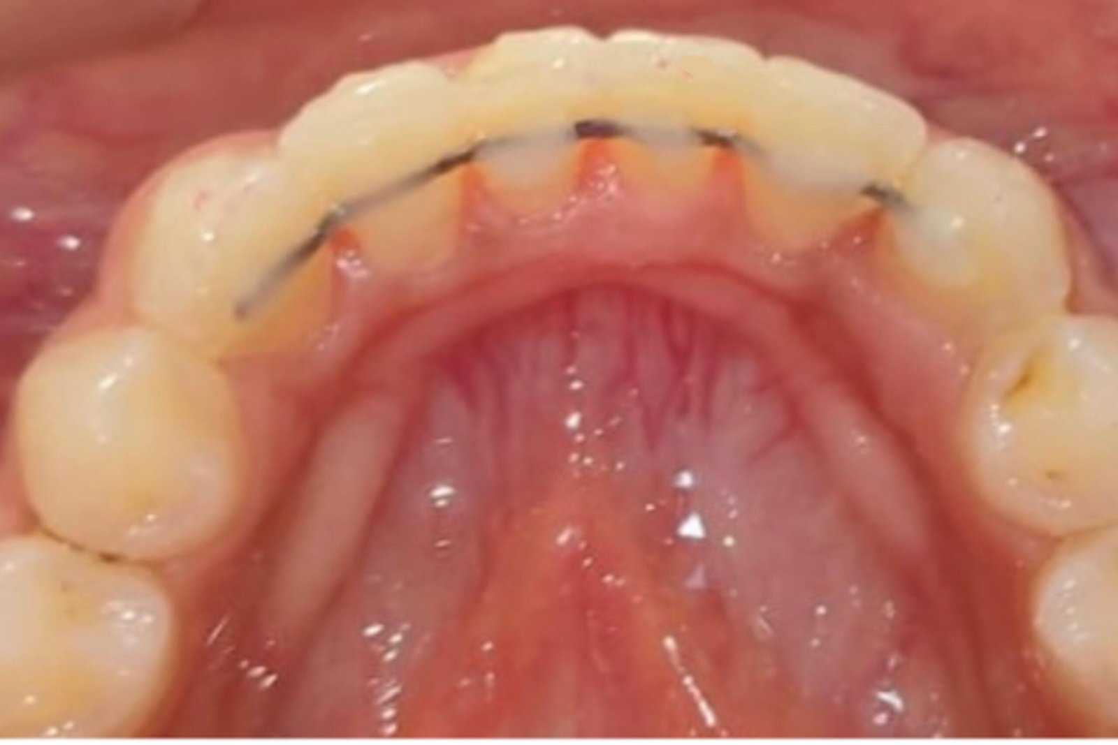
BeforeAfter



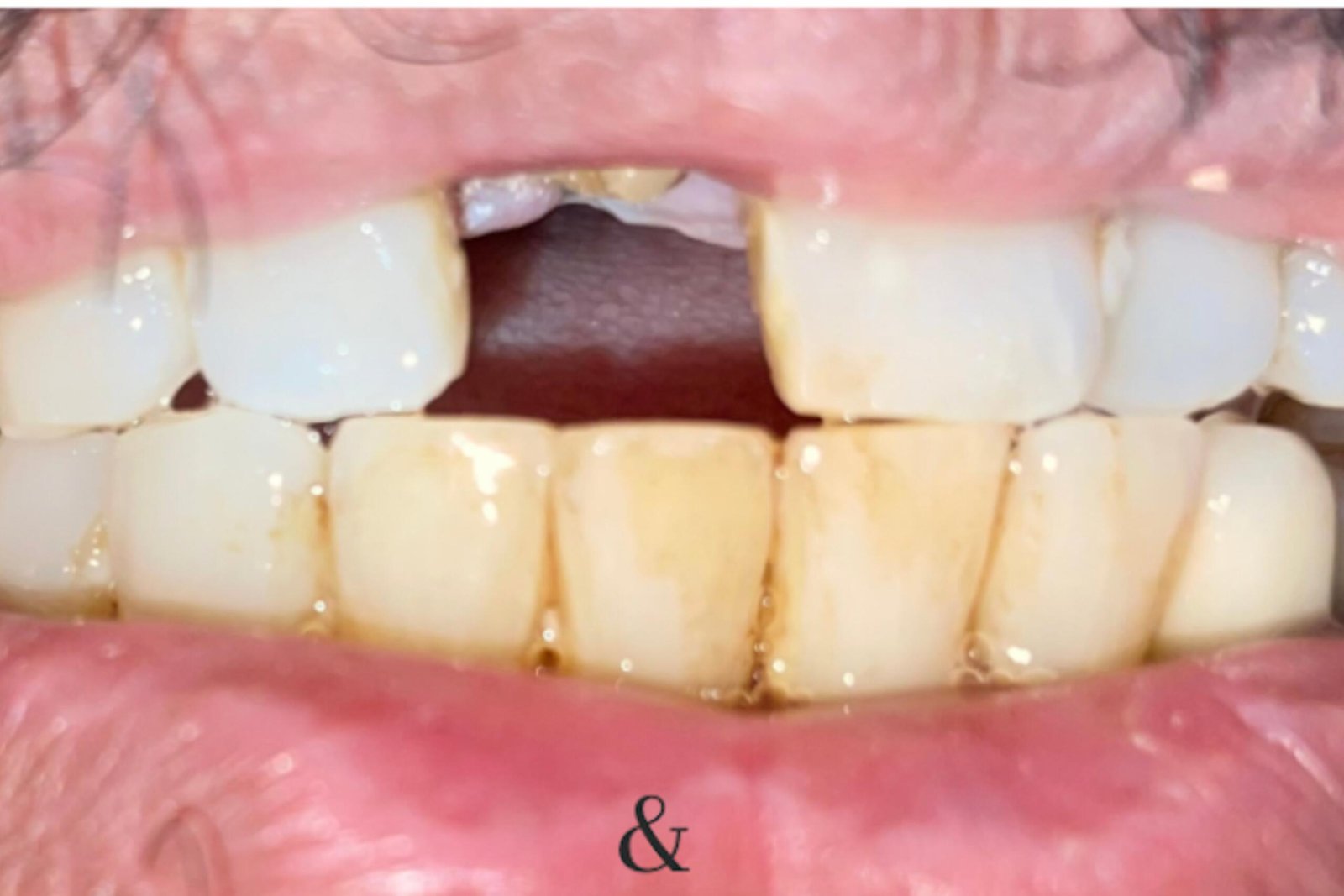
BeforeAfter



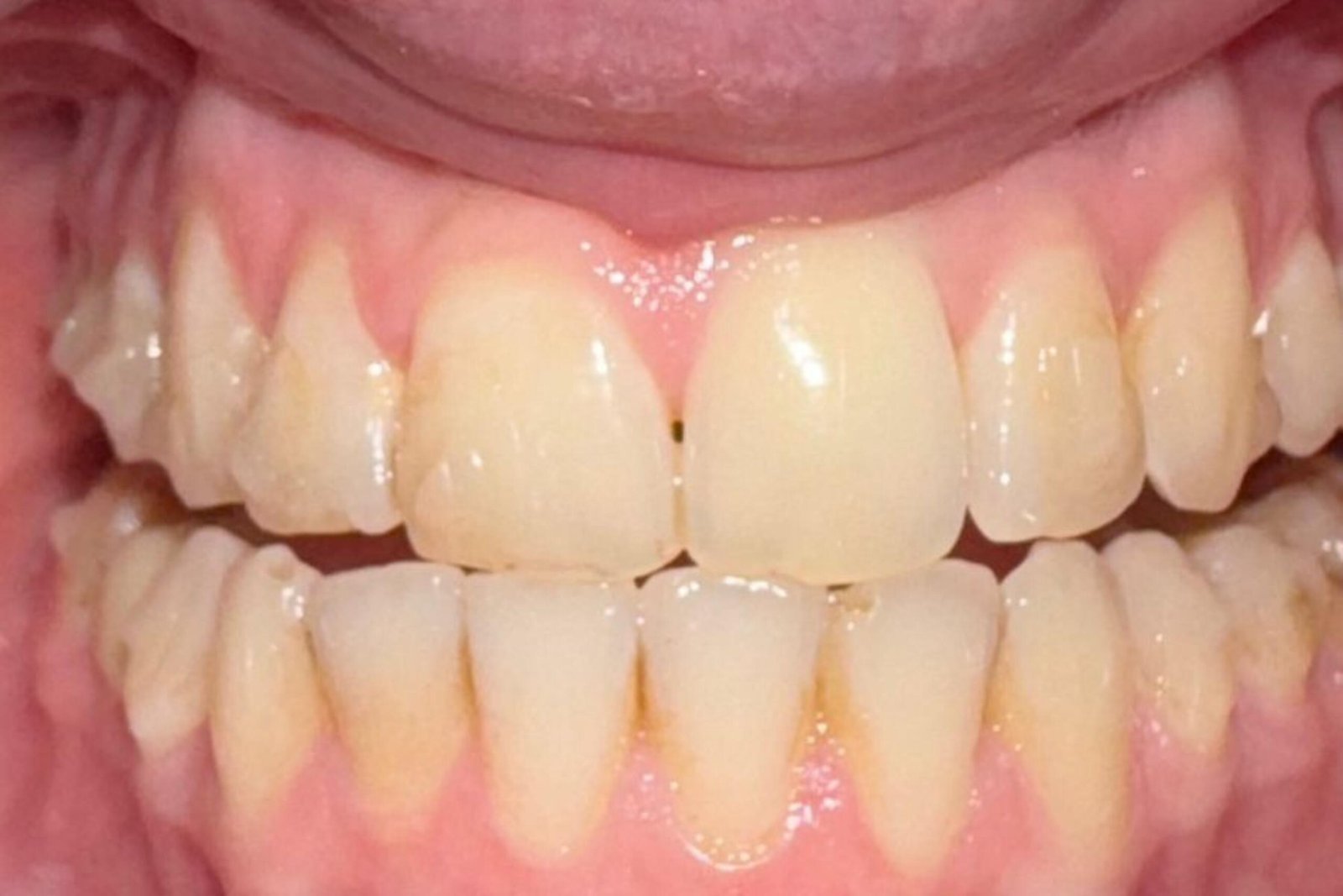
BeforeAfter



BeforeAfter



BeforeAfter



BeforeAfter



BeforeAfter



BeforeAfter



BeforeAfter



BeforeAfter



BeforeAfter
